2024年06月05日
,在李鹏飞院长带领下,我院张晓娟副院长、心内科方艳平主任介入团队成功应用逆向造影技术,为一例回旋支慢性闭塞病变患者血管开通保驾护航。这一成就不仅体现了医院在心血管领域的专业实力,也为患者带来了更为精准和有效的治疗方案。
逆向造影技术是一种先进的医学影像学技术,它通过侧枝循环对冠脉血管进行造影,从而更全面地了解冠脉闭塞血管病变情况。在心血管内科领域,该技术对于诊断和治疗严重冠脉病变具有重要意义。
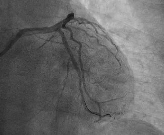
患者女性,54岁,6年前在重体力劳动时出院发作性心前区憋痛伴胸闷,伴背部发凉,自行休息10分钟左右好转,未行特殊治疗。6天前在当地医院检查时发现心电图异常,遂第二日于我院门诊完善冠脉CTA,结果示:冠状动脉呈右优势型,右冠状动脉近段及远段钙化斑块,管腔未见明显狭窄改变,左主干显影好,未见明显斑块及狭窄改变,前降支近段钙化斑块,管腔狭窄程度估测小于50%,对角支近段钙化斑块,回旋支近段混合斑块,管腔节段性闭塞改变。就诊我院行冠脉造影检查,发现回旋支近段100%闭塞,右冠状动脉远段向回旋支近段发出侧枝循环(下图↓)。
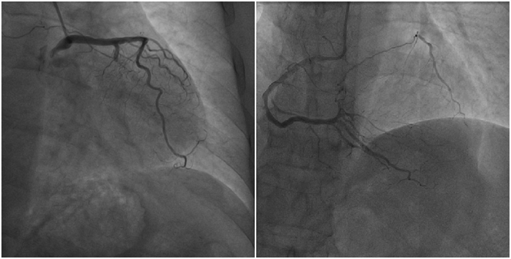
为明确回旋支闭塞病变具体情况,应用逆向造影技术,成功显影回旋支闭塞段(下图↓)。
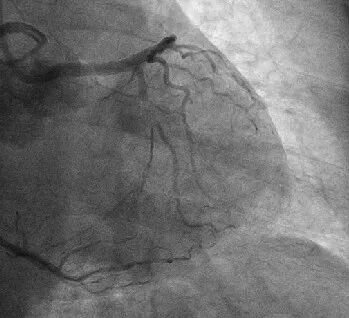
结合造影结果,对回旋支闭塞段精准定位,选取合适冠脉支架置入,成功开通血管并恢复心肌供血(下图↓)。
回旋支慢性闭塞病变是一种常见的心血管疾病,由于血管狭窄或闭塞,导致心肌供血不足,进而引发一系列临床症状。传统的治疗方法往往难以完全解决病变,且存在一定的风险。而逆向造影技术的应用,为治疗这类疾病精准施治保驾护航。经过治疗,患者的症状得到了明显缓解,生活质量得到了显著提高。这一成功案例是我院在心血管领域的一次重要突破。这一技术的成功应用,将为更多患者带来福音,推动医院在心血管领域的发展迈向新的高度。
